このような方におすすめ
- 歯を削らずに歯をきれいにしたい
- 短期間で治療を終えたい
- 歯列矯正後の色味が気になる
- すきっ歯を改善したい
- 歯の大きさを整えたい
- 歯を白くしたい

XCLINIC生まれのラミネートベニア
【ZERO RAMI(ゼロラミ) - 削らず、極める】
シールのように貼るタイプの審美歯科治療

歯の表面を一切削らず、薄い人口歯を歯に貼り付ける治療です。
削らずにより良い審美性を得ることができます。

【ZERO RAMI STANDARD】
XCLINIC 生まれの 【ZERO RAMI】STANDARD
技工士と医師が連携し各工程を一貫管理することで
“技術の精度 × 審美の理想”を最高レベルで実現しました。
【ZERO RAMI PREMIUM】
トップ歯科技工士・鎌田監修。
特殊加工を施したラミネートベニアを、色・形・透明感・角度までご希望に合わせて丁寧に調整。
お一人おひとりに「本当に似合う美しさ」を追求した、
当院こだわりのハイグレードベニアをご用意いたしました。
【ZERO RAMI – Speed】
従来のラミネートベニアは、型取りから装着まで約1ヶ月。
独自の技術により、最短4日で仕上げることができるスピード特化型ベニアです。
予定がある方や、遠方からお越しの方にオススメです。(+40000円/本で可能)
【ZERO RAMI クリスタル】
従来使用していた素材よりも強度を改良して新登場!
透明感と艶感、繊細な輝きが大きな特徴。
天然歯により近く見えるよう再現しています。

強度としなやかさを兼ね備えたジルコニア素材を使用したラミネートベニア。
削らなくても自然な白さの作成から、表面の艶感、耐久性の高さが魅力です。

上8本
トップ歯科技工士・鎌田監修。
ラミネートベニアの表面に特殊加工を施し、
色・形・透明感・角度など、ご希望に合わせて相談まで丁寧に調整。
“似合う美しさ”を追求した、当院こだわりのハイグレードベニアです。

ZERO RAMI PREMIUM上下18本+クリスタルセラミック2本
従来のラミネートベニアは、型取りから装着まで約1ヶ月。
独自の技術により、【最短4日】で仕上げることができるスピード特化型ベニアです。
予定がある方や、遠方からお越しの方にオススメです。
(+40000円/本で可能)

従来使用していた素材よりも強度を改良して新登場!
透明感と艶感、繊細な輝きが大きな特徴。
天然歯により近く見えるよう再現してます。
※注意事項
•お客様の歯の状態によっては少し削らせていただく場合がございます
•下顎の歯は適用不可
•失活歯には適用不可

レントゲン撮影とカウンセリングで、理想の歯をデザインします。

好みの白さを選択。最新機器を用いて精密な型取りを行います。

型取り後は最短4日で完成。装着前に、色や形を医師と一緒に確認します。

わずか4日で施術完了。驚くほど白く美しい口元に生まれ変わります。
※ZERO RAMI -Speedの場合







【施術内容】歯の表面を一切削らず、ジルコニアで作られた薄い人工歯を歯に貼り付ける治療です。
【リスク・副作用】腫れ・痛み・内出血・破損など
ZERO RAMI STANDARD
掲載価格は、全て税込価格です。
ZERO RAMI PREMIUM
¥88,000/本
¥87,500/本
¥80,000/本
¥70,000/本
¥66,000/本
掲載価格は、全て税込価格です。
ZERO RAMI -Speed
(ZERO RAMI STANDARDに+40000円/本で可能)
掲載価格は、全て税込価格です。
ZERO RAMI クリスタル
1本あたり ¥120,000
1本あたり ¥115,000
1本あたり ¥110,000
1本あたり ¥105,000
1本あたり ¥99,000
掲載価格は、全て税込価格です。


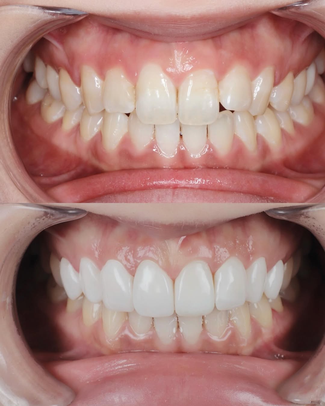
20代 / 女性
ジルコニアベニア 上8本
通常価格 ¥600,000
セラミックの欠け・破損など
審美歯科ZERO RAMI(ラミネートベニア)


20代 / 女性
プレミアムベニア 上6本
通常価格 ¥600,000
セラミックの欠け・破損など
審美歯科ZERO RAMI(ラミネートベニア)


30代 / 女性
クリスタルXセラミック 10本+プレミアムベニア 8本
通常価格 ¥2,600,000
クリスタルXセラミック:血腫、内出血、赤み、水泡、口内炎、痛み、腫れなど
プレミアムベニア:腫れ・痛み・内出血など
審美歯科セラミックZERO RAMI(ラミネートベニア)
お電話またはWEBフォームより
ご予約を受け付けております。
カウンセリングは無料です。
まずはお気軽にご相談ください。