このような方へおすすめします
- 肌のハリ・弾力をアップしたい
- 顔や首のしわを目立たなくしたい
- 肌の赤みが気になる方
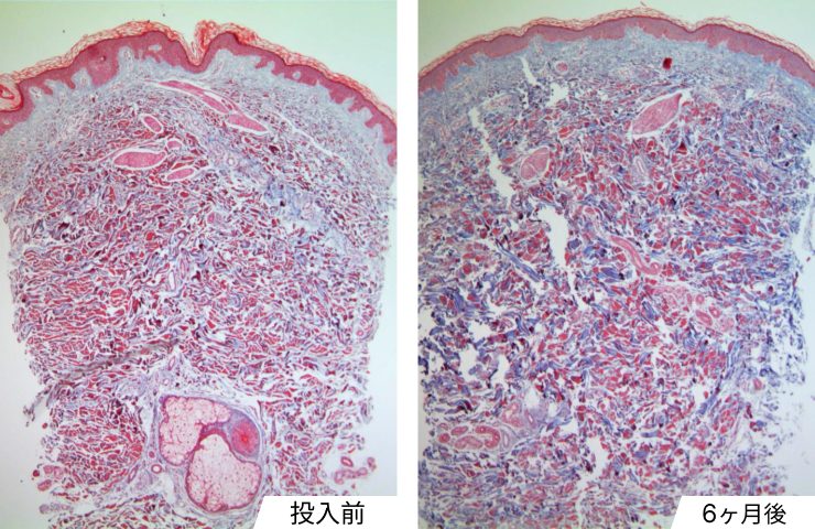
- 長期間効果が持続する肌質改善治療がしたい
- 毛穴を引き締めて開きを改善したい
- ニキビ跡やクレーター、肌の凸凹、小じわを改善したい

次世代の肌育で
様々なお悩みを一気に、解決

ジュベルック
ドクター手打ち 1cc
※麻酔クリーム代込み
ドクター手打ち 1cc
3回コース
※麻酔クリーム代込み
掲載価格は、全て税込価格です。
お電話またはWEBフォームより
ご予約を受け付けております。
カウンセリングは無料です。
まずはお気軽にご相談ください。